
Причины состояния
Головная боль и слабость в организме могут появляться по разным причинам:
- развитие простудного или вирусного респираторного заболевания;
- развитие воспалительных процессов в организме;
- снижение артериального давления (гипотония);
- недостаток витаминов и минералов в организме (например, витаминов D и B12, отвечающих за транспортировку кислорода по кровеносным сосудам к головному мозгу);
- бесконтрольный прием некоторых лекарственных средств, вызывающих эти симптомы в качестве побочных эффектов;
- нарушение работы щитовидной железы, сахарный диабет и другие эндокринные патологии;
- эмоциональные нагрузки, стрессы;
- некоторые желудочно-кишечные заболевания, сопровождающиеся нарушением впитывания питательных веществ;
- сердечно-сосудистые болезни;
- менингит;
- доброкачественные и злокачественные опухоли;
- мигрень;
- синдром хронической усталости;
- недосыпание.
Как определить заболевание?
Как мы видим, причин головной боли и усталости может быть очень много. А как выяснить, являются эти симптомы признаками опасной патологии или нет?
Мнение эксперта
Филимошин Олег Александрович
Врач-невролог, городская поликлиника г. Оренбурга.
Образование: Оренбургская государственная медицинская академия, Оренбург.
В этом вопросе важно понимать, что развитие серьезного заболевания всегда сопровождается появлением ряда сопутствующих симптомов, которые позволяют дифференцировать ту или иную проблему.
ОРВИ
Описание
Задайте свой вопрос врачу-неврологу бесплатно
Ирина Мартынова. Закончила Воронежский государственный медицинский университет им. Н.Н. Бурденко. Клинический ординатор и невролог БУЗ ВО «Московская поликлиника».Задать вопрос>>
Группа заболеваний, которые характеризуются развитием острого воспалительного процесса в органах дыхания из-за попадания вирусов в организм.
Тип боли
При ОРВИ она связана с повышением температуры и появлением острого воспалительного процесса в горле, пазухах, носоглотке.
Наиболее часто фокусируется в области лба и висков, сопровождается чувством давления, «распирания» и тяжестью.
Другие проявления
ОРВИ может сопровождаться повышением температуры тела до 38-39 градусов, заложенностью носа, кашлем, воспалением в горле, ломотой в теле, ознобом, общим недомоганием, резью в глазах. Иногда на его фоне появляются другие осложнения (отит, ларингит, бронхит и т.д.).
Методы диагностики и терапии
Диагностику проводит врач терапевт, иногда ЛОР. Назначается лечение в домашних условиях, которое включает: постельный режим, микстуры от кашля, сосудосуживающие капли в нос, растительные отвары для полоскания горла, чай с малиной и медом, средства для укрепления иммунитета (Анаферон, настойка эхинацеи, Иммунал).
Мигрень

Мигрень (migraine) – заболевание неврологического характера, отличительным признаком которого является появление мучительных головных болей, связанных с нарушением работы сосудов.
Мнение эксперта
Митруханов Эдуард Петрович
Врач-невролог, городская поликлиника, Москва.
Образование: Российский государственный медицинский университет, ГБОУ ДПО Российская медицинская академия последипломного образования МЗД РФ, Волгоградский государственный медицинский университет, Волгоград.
Серьезные органические патологии (травмы, опухоли) при этом в картине заболевания отсутствуют.
Тип болевых ощущений
Мигрень сопровождается сильными и мучительными головными болями высокой или средней интенсивности, усиливающимися при движении, эпизодическими или постоянными, возникающими с одной или (реже) с двух сторон. При отсутствии лечения приступы могут длиться до 72 часов.
Другие проявления
Тошнота, рвота, фонофобия (чувствительность к громким звукам), учащенное сердцебиение, частое мочеиспускание, потливость, сонливость, вялость.
Методы диагностики и терапии
Диагностику проводит врач невролог. Диагноз утоняется по анализу жалоб пациента, лабораторным анализам, рентгенологическому снимку, МРТ.
Для лечения применяются: успокоительные средства (экстракт валерианы, Персен, Тенотен), растительные и искусственные антидепрессанты (настойка зверобоя, Амитриптилин), НПВП (Напроксен, Ибупрофен), анальгетики.
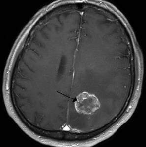
Злокачественная опухоль

Злокачественная опухоль характеризуется появлением патологического новообразования, опасного для человеческой жизни, состоящего из злокачественных раковых клеток, обладающих возможностью быстрого роста и метастазирования.
Тип боли
Интенсивность и характер болевого синдрома зависит от локализации опухоли, тяжести процесса, индивидуальных особенностей организма.
Другие проявления
На начальных стадиях опухоль может никак себя не проявлять вплоть до интенсивного роста новообразования. Тогда самочувствие пациента начинает резко ухудшаться, могут возникать: тошнота, утомляемость, рвота, нарушение слуха и зрения, трудности распознавания речи, расстройства общей и мелкой моторики и т.д.
Клиническая картина при раке очень обширна и многогранная.
Методы диагностики и терапии
Диагностика проводится комплексно и включает: КТ, МРТ, рентгенологическое исследование, лабораторные анализы, гистологию и цитологию. Лечение проводится хирургическое. Пациенту может быть назначен курс химиотерапии или лучевой терапии, а затем длительное медикаментозное поддерживающее лечение.
Менингит

Менингит – тяжелое инфекционное заболевание, характеризующееся воспалением головного и спинного мозга из-за попадания в организм бактерий, вирусов, или грибков.
Возникает как самостоятельное заболевание или в качестве осложнения.
Тип боли
Очень сильная, резкая, диффузная, распирающая, усиливающаяся при движении и повороте головы, а так же от резкого шума и световых раздражителей. При гнойном менингите болевой синдром особенно выражен.
Другие проявления
Пациента могут беспокоить так же: ломота в теле, тошнота, рвота, ригидность шеи, лихорадка, чувствительность к звукам и световым раздражителям, измененное состояние сознания, раздражительность, сонливость.
Методы диагностики и терапии
Для выявления менингита применяется люмбальная пункция. Из позвоночного канала врач извлекает спинномозговую жидкость и направляет ее в лабораторию для дальнейшего исследования. Диагноз подтверждается, если в ней находят вредоносных возбудителей (бактерии, вирусы). Больных менингитом лечат антибиотиками, противовирусными или противогрибковыми препаратами (в зависимости от типа возбудителя).
Иногда назначаются стероидные лекарства.
Боррелиоз

Боррелиоз (Болезнь Лайма) – инфекционное заразное заболевание, передаваемое человеку при укусе насекомыми и клещами.
Тип боли
При боррелиозе больного беспокоят сильные головные боли, чаще локализованные в глазном яблоке, могут отдавать в затылок. Симптомы не проходят даже тогда, когда человек спит.
Другие проявления
Ломота и скованность в мышцах и суставах, высокая температура до 40 градусов, тошнота, рвота, ощущение вялости, нарушение работы ЦНС и сердечно-сосудистой системы.
Болезнь преимущественно поражает кожные покровы, нервную и сердечно-сосудистую систему, опорно-двигательный аппарат.
Способы диагностики и лечения
Болезнь Лайма диагностируется на основании клинической картины, эпидемиологического анамнеза (прогулка в лесу, укус клеща), серологического исследования на выявление антител к боррелиям в сыворотке крови. Может применяться метод ИФА или ПЦР. Лечение назначается комплексное. Выбор препаратов зависит от тяжести болезни. Обязательно назначаются антибиотики, а так же нестероидные противовоспалительные препараты (Напроксен, Индометацин), иммунодепрессанты (Плаквенил), анальгетики, общеукрепляющие средства.
Артериальная гипертония

Заболевание сердечно-сосудистой системы, главным признаком которого является стойкое повышение артериального давления (от 140/90 и выше).
Тип боли
При гипертонии она сжимающая или генерализованная, пульсирующая, иногда вызывает ощущение плотной повязки на голове.
Как правило, сильнее проявляется по утрам, а в течение дня затихает.
Другие проявления
Тошнота, заложенность и шум в ушах, пелена в глазах, учащенное сердцебиение, ощущение давления в глазах, головокружение, вялость, подавленность.
Методы диагностики и лечения
Постановку диагноза осуществляет врач кардиолог на основании анамнеза, жалоб пациента, холтеровского мониторирования, ЭКГ, систематического измерения давления. Лечение комплексное, медикаментозное.
Специалист назначает блокаторы рецепторов ангиотензина, диуретические средства, антогонисты калия, лекарства для очищения сосудов и т.д.
Абузусная головная боль

Специалисты так же называют ее «рикошетной» или «лекарственной». Ее главной причиной является злоупотребление различными аптечными препаратами. Она относится к вторичным формам цефалгий, тесно связана с мигренью.
Тип боли
Проявляется двусторонней цефалгией сжимающего или давящего характера, умеренной или слабой интенсивности. Может быть диффузного характера, локализоваться в лобно-затылочной части или в височной области.
Усиливается при интеллектуальной и физической нагрузке.
Другие проявления
Усталость, вялость, подавленность настроения.
Методы диагностики и терапии
Диагностика осуществляется на основе анамнеза, расспроса пациента о принимаемых препаратах. Для снятия абузуса снижают дозировку принимаемого лекарства или полностью его отменяют, назначают средства от цефалгии, иногда антидепрессанты.
При тяжелом состоянии может потребоваться детоксикация.
Другие причины

- Заболевания придаточных пазух носа (гайморит, этмоидит, фронтит). Болит голова и слабость во всем теле, заложенность носа, давление и тяжесть в голове при наклоне вниз – типичные жалобы при синуситах, которые описывает пациент на приеме у специалиста
- Аллергические реакции. Особенно часто с этими симптомами сталкиваются весной в период активного цветения при аллергии на пыльцу растений и цветов. Пациенты жалуются, что у них болит голова и хочется спать, заложен нос, появляется слезотечение, сыпь на коже и другие признаки поллиноза.
- Гиперсомния — продолжительность ночного сна без объективной необходимости и усталость днем. Сонливость, усталость, головная боль – главные признаки этого состояния. Кстати, астения является разновидностью гиперсомнии.
- Анемия (малокровие) так же характеризуется вялостью, усталостью, болевым синдромом. У пациентов с анемией отмечается снижение гемоглобина, недостаточность функционирования эритроцитов, нехватка кислорода в крови. Отсюда и появляются все эти неприятные симптомы.
- Сахарный диабет и другие проблемы в области эндокринологии тоже являются причиной появления перечисленных симптомов. Диабет сопровождается так же повышением уровня сахара в крои, пониженным давлением, головокружением, сонливостью, жаждой.
Обратите внимание, что это лишь часть тех возможных болезней, при которых могут возникать слабость и головная боль.
Истинную причину этих симптомов может выяснить только специалист.
Алгоритм диагностики
Способы и методы диагностики подбираются индивидуально. Вначале врач осматривает пациента, оценивает характер жалоб, расспрашивает о недавно перенесенных болезнях и хронических недугах. Затем врач уточняет локализацию болевых ощущений, их длительность, частоту возникновения и т.д.
Примерный список вопросов
- Как давно вас беспокоит болевой синдром и слабость?
- Можете ли вы указать, в каком месте вы ощущаете болевые ощущения?
- Как часто вас беспокоят эти симптомы?
- Ощущаете ли вы тошноту в момент приступов?
- Возникают ли у вас головокружения?
- Усиливаются ли симптомы при физической нагрузке?
- Влияет ли ваше состояние на общую активность в течение дня?
- Наблюдали ли вы у ваших родственников похожие признаки?
- Чем вы снимаете неприятные ощущения?
- Какие лекарственные препараты принимаете в настоящее время?
- Какими заболеваниями болели в ближайшие месяцы?
- Какие есть хронические заболевания вас и у ближайших родственников?
Если консультации с пациентом будет недостаточно, врач назначает дополнительные методы диагностики, например, лабораторные анализы, ЭКГ, МРТ и т.д.
На основании полученных данных будет выставлен точный диагноз.
Как снять симптомы самостоятельно?
Если неприятные симптомы были вызваны физической усталостью, умственными нагрузками или напряжением в течение рабочего дня, болевой синдром можно устранить самостоятельно, не прибегая к лекарственным препаратам.
Положительное действие оказывают пешие прогулки на свежем воздухе, контрастный душ, принятие теплой ванны с морской солью, проветривание помещения, медитация. Можно просто полежать, расслабиться, послушать спокойную музыку, почитать легкую интересную книгу.
Если болит голова, можно сделать ароматный чай с листьями мяты, шиповником, лимоном, клюквой или ромашкой. Такие напитки обладают общеукрепляющим, успокаивающим действием, придают сил, повышают иммунитет, улучшают работу головного мозга.
В некоторых случаях возможен прием простых обезболивающих средств (Ношпа, Спазган).
При этом следует помнить, что у каждого средства есть противопоказания и побочные действия, поэтому лучше перед их применением посоветоваться с врачом.
В каком случае обращаться к врачу?
Пациенту важно знать! Если болевые ощущения в голове и усталость сопровождаются другими симптомами (тошнота, рвота, нарушение зрения, чувствительность к громким звукам, дезориентация в пространстве и т.д.), следует незамедлительно обратиться к врачу для оказания помощи!
Посмотрите видео на эту тему

Заключение
Слабость и головная боль – распространенные симптомы, с которыми врачам приходится сталкиваться в клинической практике достаточно часто. Чаще всего они не представляют угрозы для здоровья и жизни пациента, легко купируются домашними и легкими медикаментозными средствами.
Но бывают ситуации и более тяжелые, когда признаки эти могут указывать на развитие серьезных заболеваний. Поэтому врачи советуют быть внимательными к своему самочувствию и при необходимости не откладывать визит к врачу. Будьте здоровы.
Источник
Существует ряд заболеваний, симптомами которых выступают головная боль, тошнота, слабость. Сочетание этих показателей говорит о необходимости визита к врачу, поскольку провоцирующими факторами могут быть довольно серьезные патологии, хронические болезни или полученные травмы.
Возможные причины
Состояние организма, при котором болит голова, слабость и тошнит, может быть вызвано разнообразными причинами. В любом случае, это показатель того, что ЦНС человека функционирует неправильно вследствие стрессовых ситуаций, механических воздействий или чрезмерного переутомления.
Головная боль, сопровождающаяся тошнотой и слабостью, может возникать в ряде случаев:
- Артериальная гипертензия и гипертонический криз. Когда человека постоянно беспокоит повышенное кровяное давление, помимо пульсирующей головной боли, онемения кончиков пальцев и учащенного пульса будут наблюдаться слабость и тошнота. Если не следить за давлением и не принимать необходимых мер, может случиться гипертонический криз. К перечисленным симптомам добавляются боль в груди, помутнение сознания, рвота. Такое состояние организма относится к патологическим и требует срочного медицинского вмешательства.
- Мигрень. Чувство тошноты, слабость и головная боль также характерны для мигрени. Происходит это в результате сужения и расширения сосудов головного мозга. При мигрени боль приступообразная, очень выраженная, чаще возникает с одной стороны головы. Среди дополнительных симптомов можно выделить головокружение, чувствительность к яркому свету и громким звукам, одышку. Чаще всего мигрень провоцируют стрессы, постоянное напряжение, отсутствие полноценного сна.
- Гипогликемия. Если уровень сахара в крови критично понижается, кроме бледности кожных покровов, сильного чувства голода, учащенного сердцебиения возникают головная боль, тошнота, слабость.
- Повышенное внутричерепное давление. Это заболевание появляется в результате неправильной циркуляции спинномозговой жидкости − ликвора. При этом регулярно возникает головная боль, снижается умственная и физическая активность, человека тошнит, он быстро утомляется.
- Анемия. Пациенты, у которых снижен гемоглобин, часто жалуются на сонливость, слабость, повышенную утомляемость. При этом боль в голове и тошнота наблюдаются достаточно часто. Это происходит в результате нарушений работы головного мозга из-за снижения количества эритроцитов в крови.
- Атеросклероз сосудов головного мозга. Головная боль – характерный симптом данного заболевания. Появляется она из-за недостаточного притока кислорода в головной мозг и изменений в сосудах. Боли усиливаются при переутомлении, у пациента может возникнуть сильная слабость и тошнота.
- Травмы головы. Головная боль, тошнота и слабость – выраженные симптомы легких и средних черепно-мозговых травм. Появляются как при серьезных сотрясениях, так и при легких ушибах.
- Пониженное артериальное давление. Оно может быть у ряда людей постоянным или снижаться в результате неблагоприятных погодных условий. При этом ухудшается кровоснабжение тканей кислородом, а вялость, сонливость и слабость дополняют тошнота и головная боль.
- Заболевания эндокринной системы. Чувство тошноты, слабость и головная боль в сочетании с постоянной жаждой, сухостью во рту и зудом могут быть симптомами сахарного диабета или нарушением функции щитовидной железы.
- Опухоль головного мозга. Часто при возникновении злокачественных образований пациенты жалуются на боль в голове и слабость. Еще одним симптомом является тошнота, которая возникает, как правило, по утрам.
- Клещевой энцефалит. Это заболевание, возбудителем которого является вирус, переносимый клещами. При заражении человека часто поднимается температура, болит голова, наблюдаются тошнота и слабость.
- Нарушение кровоснабжения в головном мозге и шейный остеохондроз. Сдавливается позвоночная артерия, кровоток нарушается, возникает слабость, головная боль, пациента часто подташнивает.
- Менингит. Тяжелое заболевание, при котором воспаляются оболочки головного мозга, повышается температура, в результате появляется сильная головная боль, слабость, начинается интоксикация организма, может возникнуть тошнота. Боль в голове при менингите очень интенсивная, ярко выраженная, усиливается при любом движении.
- Беременность. В первом триместре беременности, когда женщина обычно страдает от токсикоза, ее часто беспокоят головные боли, появляется чрезмерная усталость, слабость и тошнота.
Причины головной боли, слабости и тошноты могут скрываться в приеме некоторых лекарств, являясь побочными эффектами. Часто они возникают в результате употребления транквилизаторов, антигистаминных средств, таблеток, снижающих давление, гормонов, наркотических обезболивающих. Если медикаменты вызывают такие последствия, плохо отражаются на жизни человека, нужно посоветоваться со специалистом, чтобы он подобрал альтернативное средство лечения.
Как бороться
Основное лечение должно быть направлено не на устранение симптомов, а на борьбу с самим заболеванием. Только специалист может определить, какое лечение головной боли, слабости и тошноты подойдет в данном конкретном случае.
Предварительно пациента необходимо обследовать. Во время диагностики больному назначают следующие процедуры:
- энцефалография (ЭХО);
- электрокардиография (ЭКГ);
- магнитно-резонансная томография (МРТ);
- компьютерная томография (КТ);
- рентген позвоночной области;
- биохимический анализ крови;
- анализ мочи;
- контроль кровяного давления;
- обследование окулиста.
После того как причина выявлена и поставлен диагноз, врач назначает лечение.
Если головная боль связана с нарушением кровообращения, используют препараты, которые его улучшают, например, кавинтон, теоникол, стугерон.
Для снижения артериального давления назначают капотен, анаприлин, энап, а также мочегонные средства. При гипертоническом кризе применяют такие препараты, как нифедипин, клонидин, эналаприл.
Для лечения отдельных форм головных болей, сопровождающихся слабостью и тошнотой, применяют противовоспалительные средства, например, нурофен.
Если у пациента диагностировали клещевой энцефалит, назначают иммуноглобулин, препараты группы глюкокортикоидов, а также противовирусные средства.
Для облегчения тошноты применяют блокаторы М-холинорецепторов, транквилизаторы (диазепам, лоразепам).
Если состояние больного достаточно тяжелое, сильная тошнота не проходит, головная боль и слабость усиливаются, врачи могут назначить более сильные препараты.
Головная боль и сопутствующие симптомы истощают организм человека, снижают способность противостоять вирусам, нарушают психическое равновесие. Для восстановления сил могут быть назначены витамины группы B, антидепрессанты, сосудорасширяющие средства.
Профилактически меры
Профилактика не менее важна, чем лечение, поскольку позволяет не только облегчить течение заболевания, но и предотвратить возникновение неприятных симптомов.
Правильное питание
Головная боль может беспокоить из-за частого употребления продуктов, в которых содержится кофеин (чай, кофе, газированные напитки), глутамат натрия (полуфабрикаты, сухие завтраки), нитриты (колбаса, ветчина, сосиски). Все эти вещества, попадая в кровь, оказывают весьма негативное влияние на кровеносные сосуды, они начинают усиленно сужаться и расширяться. Поэтому стоит исключить вредные продукты из своего рациона и придерживаться здорового питания.
Лечебная физкультура
Регулярные физические упражнения повышают мышечный тонус, улучшают кровообращение, общее состояние организма. Их можно сочетать с физиотерапевтическими процедурами и иглорефлексотерапией.
Массаж
Массаж снимет напряжение и спазмы, возникающие в мышцах, а также расслабит весь организм. Больший эффект будет, если массажировать не только воротниковую зону, но и все тело. Со временем боли станут беспокоить реже, а в ряде случаев вообще прекратятся. Можно делать массаж самостоятельно на некоторые участки головы или массировать специальные точки, например, сзади у основания черепа в углублении между двумя вертикальными мышцами шейного отдела, на стыке переносицы и бровей, сразу в начале скулы по вертикальной линии зрачка. Это также облегчает состояние.
Расслабляющие ванны
Каждые 2−3 дня можно делать ванны с травами или эфирными маслами, хорошо помогают для снятия слабости и головной боли ромашка, валериана, мята, лаванда. Они благотворно влияют на общее состояние организма.
Психотерапия
Иногда причинами головных болей и сопутствующих симптомов бывают депрессии, тревожные состояния, травмы головы. В этих случаях полезно будет получить консультацию психотерапевта. Возможно, доктор даст ряд рекомендаций, которые помогут предотвратить появление таких неприятных ощущений.
Если человека беспокоят головная боль, тошнота, слабость, не стоит искать причину самостоятельно и заниматься самолечением. Данные тревожные симптомы требуют детального обследования и профессиональной консультации специалиста, поскольку могут сигнализировать о серьезных патологических состояниях организма.
Похожие статьи:
Источник

