Больше 60% людей сталкивается с тем, что у них болит спина в области легких сзади в возрасте 20-60 лет. И причин тому может быть масса: остеохондроз, пневмония, бронхит, туберкулез, воспаление, переохлаждение и даже большая физическая нагрузка.
Многие интересуются, могут ли болеть легкие со спины, ощущаться дискомфорт и тяжесть в правом легком, спазм в грудной клетке и неприятные ощущения, когда вдыхают воздух. И ответ, однозначно – да!
Но в чем бы ни крылась причина, откладывать поход к врачу не стоит, ведь речь идет о серьезном заболевании, которое будет прогрессировать.
Почему болит спина и легкие?
Прогревание спины
Боль в легких при кашле и в спине слева возникает по разным причинам, которые нужно сразу определить, а только потом бороться с симптомами и заболеванием. Иногда причина кроется в том, что человек застудил спину и достаточно прогревания, а иногда у пациента диагностируют рак легких.
Также встречается:
- Остеохондроз;
- Грыжа;
- Пневмония;
- Рак легких;
- Ишемия и патология сердца;
- Невралгия в области ребер.
Фотогалерея:
Грыжа
Рак
Невралгия в области ребер
Ишемия
Пневмония
Установить причину можно только в больнице после диагностики и вывода врача.
Но на последней стадии заболевания и клинической картины будет достаточно.
к содержанию ↑
Признаки заболевания
Определить тип проблемы можно по ряду признаков, которые зависят от болезни, стадии поражения организма, места расположения очагов воспаления и общего состояния пациента.
Боли в спине можно квалифицировать по таким группам:
| Группа № | Описание |
|---|---|
| 1 | Колющие, ноющие и давящие |
| 2 | Умеренные, ярко выраженные |
| 3 | Постоянные и изредка появляющееся |
| 4 | Возникающие при вдохе, движении грудной клетки |
| 5 | Отдающие в спину, шею и живот |
Остальные признаки и симптомы будут зависеть от заболевания и области расположения воспаления.
к содержанию ↑
Патологии позвоночного столба
Для увеличения нажмите на фото
Если проблема кроется в патологии или заболеваниях позвоночника, то болевые ощущения возникают при движении тела, имеют острый или ноющий характер.
О развитии остеохондроза, грыжи и ревматизма может говорить ряд признаков:
- Онемение, покалывание;
- Снижение чувствительности;
- Изменение оттенка кожи;
- Снижение тонуса мышц, слабость.
Заболевания протекают без кашля и температуры, жжения в правом или левом легком. Кашель может свидетельствовать о дополнительном воспалении и простуде.
Рекомендуем к просмотру:
к содержанию ↑
Пневмония
Пневмония на рентгене
Если вы ощущаете неприятные ощущения в грудной клетке, тяжесть в легких слева, то могут быть проблемы с легкими, а именно пневмония или плеврит.
Тогда проявления выражены в:
- Кашле;
- Выделениях гноя или слизи;
- Изменении температуры.
Особенно боль усиливается при вдохе-выдохе, во время кашля.
Стоит отметить, что болевые ощущения могут уменьшаться, если пациент ложится на сторону, где расположено воспаление. Тогда серозные лепестки обездвиживаются и чувство жжения проходит.
Видео по теме:
Дополнительными симптомами заболевания считаются головная боль, снижение физической активности и слабость. Выявить пневмонию можно только после рентгенографии и цитологического анализа.
к содержанию ↑
Рак
Иногда покалывает в спине со стороны легких при раке, причём последней стадии, когда болезнь распространилась на костную ткань и лимфоузлы.
Тогда основные признаки могут совсем отсутствовать, зато встречаются такие проявления:
- Затяжной кашель;
- Отдышка;
- Выделения крови при кашле;
- Плохой аппетит;
- Общая слабость;
- Истощение.
Изначально боль появляется при вдохах, после становится тяжело дышать, температура повышается до 37-37,5 градусов.
Важно и то, что по месту расположения болей можно определить локализацию опухоли, что упрощает диагностику.
Полезно будет просмотреть:

к содержанию ↑
Ишемия и болезни сердца
При ощущении тяжести и боли за грудиной, которая отдает в бок или руки, можно исключить инфаркт и стенокардию, а говорить об ишемии.
Ей также присущи следующие проявления:
- Бледность;
- Повышение потовыделения;
- Трудности с дыханием;
- Частый пульс;
- Покалывание в груди.
В данном случае обращаться к врачу нужно немедленно, потому что осложнениями ишемии является аритмия, разрыв сердца и атеросклероз.
Полезное видео:
к содержанию ↑
Невралгия отдела ребер
Если боль появляется в области лопатки, сзади со спины при вдохе, то речь может идти о невралгии отдела ребер. Обычно боль усиливается и распространяется по грудине во время движений.
Подробнее о боле в грудине мы писали в этой статье.
Также наблюдается:
- Онемение;
- Потеря чувствительности или ее повышение;
- Распространение боли в область рук и поясницы.
При расположении очагов в нижней части ребер, нужно отправляться в больницу, так как это может быть не невралгия, а панкреатит.
Видео про межреберную невралгию:
к содержанию ↑
Обследование в больнице
Для определения типа заболевания недостаточно внешнего осмотра или выводов по клинической картине.
Обычно пациентам назначают дифференциальную диагностику в больнице, которая включает:
- Общий анализ крови;
- Бактериологический и цитологический анализ мокроты из легких;
- Рентгенографию позвоночника и легких;
- Бронхоскопию;
- Томографию или УЗИ.
Фото по теме:
Бронхоскопия
Общий анализ крови
Рентген легких
Рентген позвоночника
Томография
УЗИ
Цитологический анализ
Также рекомендуется пройти консультацию у онколога, кардиолога, вертебролога или ортопеда, гастроэнтеролога. Только на основании их заключений можно разработать лечение.
к содержанию ↑
Дискомфорт при воспалении мышц и суставов
Зоны поражения миозитом
Часто причиной болей, спазмов и дискомфорта становится нарушение в мышцах. Тогда они отекают и постоянно сокращаются, что называется «миозитом».
Причины появления проблемы:
- Переохлаждение;
- Большое физическое напряжение;
- Повреждение;
- Инфекции и воспаления.
При распространении воспаления, боль ощущается сзади, она усиливается при нагрузке на грудину.
Если долго не обращать внимания на симптомы, то заболевание будет прогрессировать, поражая новые отделы организма.
к содержанию ↑
Боли с правой стороны легких
Если боли при дыхании и кашле концентрируются в правой стороне, под ребрами и спине в области легких, то есть несколько причин, в зависимости от клинической картины, рассмотренной в таблице:
| Заболевание | Проявления |
|---|---|
| Плеврит, пневмония и туберкулез | Кашель, отдышка, выделение крови, высокая температура и потовыделение. |
| Панкреатит, цирроз печени | Спазмолитическая боль в легких или сзади спины, дискомфорт в животе, рвота, общая слабость и высокая температура, ощущение, что колит под правым боком. |
к содержанию ↑
Другие проблемы
Часто боли в спине возникают по ряду других причин, а не только патологии позвоночника или воспалении легких.
Так как спина – обширная зона в теле человек, то на ней может сказываться неправильная работа всех внутренних органов, а именно:
- Сердца, когда спазма сосудов при стенокардии достаточно для возникновения болей, которые распространяются в грудину и лопатки. Даже при инфаркте часто поражаются только задние мышцы спины без остальных признаков;
- Легких, когда воспаление дает о себе знать только во время кашля, дыхания и движении грудной клеткой;
- Почек, когда орган увеличивается в размере из-за камня и воспаления. Тогда боль появляется в спине и может отдавать в живот, ребра и легкие сзади;
- Патология желудочного тракта, когда тянущие боли в животе проецируются на спину, заднюю часть легких и ребер. Причиной тому может быть грыжа, болезни желудка и кишечника. Усиливается боль в спине сзади в области легких после приема пищи.
Советуем просмотреть:

Именно поэтому рекомендуют проходить консультацию и диагностику у разных врачей, чтобы исключить некоторые заболевания, установив точный диагноз.
к содержанию ↑
Лечение болей
Часто при появлении болей в спине, кашля, одышки и дискомфорта, и спазмов в районе груди сзади пациенты принимают обезболивающие препараты или блокаторы, как Анальгин, Новокаин или Ренальган. Но они лишь снимают общие проявления и симптомы, но не лечат заболевание.
Можно использовать нестероидные противовоспалительные средства, которые избавляют от воспаления и инфекций в тканях, обладают обезболивающим эффектом.
Принимают их лишь при патологии позвоночника и переохлаждении дисков, ведь при заболеваниях пищеварительного тракта, они ухудшают симптомы. Тогда же могут быть выписаны хондопротекторы или согревающие мази, корсеты и компрессы.
При болезнях почек, печени, сердца и легких необходимо ложиться в стационар, принимать антибиотики, аутоиммунные средства, садиться на диету, иногда проходить через операции.
Курс лечения разрабатывается врачом, но зависит от конкретной проблемы. Ведь самолечение часто приводит к смерти или дисфункции почек, печени и инфаркту миокарда.
к содержанию ↑
Итоги
Важно, чтобы пациент при появлении болей сзади в спине сразу же обращался в больницу и проходил полноценную диагностику.
Если же затягивать и не обращать внимания на спазмы, жжение и кашель с болью в легких или спине, то спасти от рака, пневмонии или туберкулеза будет невозможно.
Поставить диагноз самостоятельно, исходя из пары признаков невозможно, ведь только врачи окажут квалифицированную помощь на территории больницы. Это спасает не только здоровье, но и жизнь!
Похожие записи
01.04.2018
12.07.2017
04.06.2017
Источник
Характерным симптомом любого заболевания является боль, которая может быть от слабовыраженной до непрекращающейся. Если у человека болит спина в области легких, то он начинает беспокоиться и обращается к врачу. Такое решение очень правильно, ведь боль в области спины может указывать на различные заболевания, начиная от проблем с позвоночником и заканчивая злокачественными новообразованиями.
Для того чтобы выявить причину появления боли в области легких, необходимо учитывать ее интенсивность, характер, локализацию, длительность и взаимосвязь с определенными действиями (кашель, гипертермия, движение и т.д.). Нередко пациенты принимают позвоночные боли за легочные заболевания или проявление ИБС (ишемической болезни сердца), поэтому дифференциальной диагностикой и дальнейшим лечением должен заниматься непосредственно лечащий врач.
Возможные причины появления боли
Причин образования болей может быть несколько. Отличительной особенностью позвоночных болей является их усиление при двигательной активности, натуживании, а также при наклоне головы.
Кроме того, боль может сопровождать развитие миозита спинных мышц. В этом случае мышцы спины сильно напряжены, отмечается небольшая гиперемия и легкая припухлость воспаленного участка. При этом боль чаще всего возникает утром, после ночного сна и усиливается при пальпации и физических нагрузках
В том случае, когда боль в области спины сопровождается одышкой, кашлем, высокой температурой тела, которая появляется ближе к вечеру, необходимо исключить патологические процессы в легочной системе.
Болевой симптом в районе легких сзади может возникнуть вследствие:
- остеохондрозов;
- межпозвоночных грыж;
- плеврита;
- воспаления легких;
- развития туберкулеза;
- опухолевидных образований;
- межреберных невралгий и т.д.
Причины могут быть весьма разнообразны, поэтому перед тем, как начать прием обезболивающих препаратов и других способов самостоятельного лечения, необходимо обратиться к высококвалифицированному специалисту для проведения более тщательной диагностики.
Клиническая симптоматика
Симптоматика заболевания позволяет понять причины появления болей со стороны легких. Этот этап очень важен для выполнения дальнейшей терапии.
Первоочередно выявляется характер боли, которая может проявляться в результате непосредственно самого заболевания, повышенной чувствительности организма и других сопутствующих причин.
Боли могут усиливаться при вдохах и кашле, а также иррадиировать в живот, область грудной клетки или шею. На основании определения болевого синдрома выявляются другие признаки, сопутствующие этому состоянию. В том случае, когда боль вызвана заболеваниями позвоночной системы (остеохондрозы, позвоночные грыжи и т.д.), болевой симптом напрямую связан с двигательной активностью.
На сдавливание нервных окончаний указывают следующие симптомы:
- легкое покалывание в кончиках пальцев и онемение;
- бледность, мраморность кожных покровов;
- низкий порог чувствительности в конечностях;
- мышечная слабость.
Онемение рук и покалывание в пальцах при сдавлении нерва
Подобная симптоматика присутствует при различных патологических состояниях позвоночника, включающих не только грыжи и остеохондроз, но и спондилоартрит, травмы, остеопорозы, искривления позвоночника, онкологические новообразования и т.д. Заболевания позвоночника подтверждаются диагностикой в 50% всех случаев.
Дифференциальная диагностика
Для определения причины возникновения негативной симптоматики необходимо проведение дифференцированной диагностики, на основании которой определяется дальнейшая тактика лечения:
1. При развитии остеохондроза
При поражении грудного отдела позвоночника в результате остеохондроза, а также межпозвоночных грыж, боль в области легких в спине провоцируется защемлением нервного окончания и довольно часто напоминает некоторые внутренние заболевания.
Болевой приступ возникает при поднятии тяжестей, наклоне, поворотах туловища и глубоких вдохах. Боль купируется после принятия НПВС, а также при отдыхе лежа. Для проведения диагностики используется рентгенологическое исследование, МРТ, а при необходимости КТ (компьютерная томограмма).
Рентгенограмма нарушений позвоночника в результате остеохондроза
Для лечения остеохондроза требуются комплексные мероприятия, включающие в себя противовоспалительные средства (Ортофен, Диклофенак, Вольтарен и т.д.), обезболивающие (Триган, Спазган, Спазмалгон и т.д.), а также массаж и лечебная физкультура.
2. При ИБС
В том случае, когда боль локализуется в области груди с иррадиацией в область легких, под лопатку и левую руку, необходимо исключить заболевания сердечно-сосудистой системы (предынфарктного или инфарктного состояния, а также стенокардии). Эти патологические состояния являются крайне опасными, и при неоказании своевременной помощи могут привести к гибели пациента.
Характерными признаками ИБС считаются:
- сильная, непрекращающаяся боль;
- бледность кожных покровов;
- повышенное потоотделение;
- затрудненный вдох и учащенный пульс;
- тревожное состояние.
Диагностика стенокардии напряжения
В резких случаях может встретиться атипичное течение ИБС, что затрудняет диагностику и могут осложняться различного вида осложнениями (аритмиями, кардиогенным шоком и аневризмой).
3. При плеврите и воспалении легких
Если начинают болеть легкие в области спины, необходимо исключить заболевания легочной системы. Характерно, что боль при развитии пневмонии вызвана исключительно присоединением миозитов или плевритов.
При этом, помимо болевого симптома, наблюдаются следующие признаки:
- стойкая гипертермия;
- повышенная усталость и общее ослабление организма;
- покалывания в спине при дыхании, особенно при глубоком вдохе;
- возможна одышка и сильный кашель.
Пальпаторно (прощупыванием) выявляется локальная болезненность в области спины, при аускультации (прослушивании) слышны крепитация (легкое потрескивание, хруст), а также шумы, напоминающие трение. Плевральные боли нередко сопровождают развитие туберкулеза. При этом боль локализуется в верхней части легких, а в области спины отмечается боль в области трапециевидной мышцы.
Выслушивание легочных хрипов
Диагностика заключается в проведении рентгенографии, а при туберкулезе выполняется ряд специальных проб на определение специфического возбудителя. Лечебные мероприятия при заболеваниях легких заключаются, прежде всего, в антибиотикотерапии (Ампициллин, Цефазолин, Оксациллин и т.д.), а также противокашлевых средств и препаратов для разжижения и выведения мокроты из легких (Либексин, Бромгексин, Амбробене и т.д.).
Кроме того, для снижения температуры может назначаться Парацетамол или Аспирин, а также обезболивающие препараты. Лечение пневмонии требует комплексного подхода с выполнением реабилитационного периода, направленного на восстановление иммунной защиты организма.
4. При злокачественных новообразованиях
При появлении легочных болей в области спины не следует исключать возможность злокачественного новообразования. Тяжесть диагностики заключается в позднем обращении за медицинской помощью, так как до определенного времени болезнь протекает бессимптомно.
Признаки новообразования практически не отличаются от типичной картины болезней позвоночника.
При этом отмечаются:
- продолжительный кашель с выделением мокроты, в которой присутствуют прожилки крови (аналогичный симптом бывает и при туберкулезе легких);
- затрудненное дыхание, сопровождаемое одышкой;
- повышенное потоотделение и слабость;
- периодическая гипертермия;
- ухудшение общего состояния и наступление кахексии (истощения).
Четкую картину злокачественного новообразования позволяет выявить рентгенографическое исследование и биопсия (забор пораженной ткани на определение злокачественности). При необходимости назначаются МРТ, КТ, бронхоскопия и т.д. От проведенной диагностики зависит необходимый объем терапевтического или хирургического вмешательства.
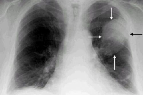
Рак легкого на рентгеновском снимке
Иногда боли в области спины возникают после удаления части (целого) легкого. При этом дыхательная нагрузка приходится на второе легкое, но при этом возможно развитие сколиотических искривлений позвонков в грудном отделе с последующими протрузиями и грыжами.
5. При мышечном воспалении
Частой причиной образования боли являются воспаления мышц, причинами которых могут стать:
- общее охлаждение организма;
- неправильное распределение нагрузки на мышцы;
- различного вида травмирования и инфекции.
При распространении воспаления на область спинных мышц пациенту может показаться, что присутствует именно боль в области легких, сзади. Болевой симптом усиливается при вовлечении в движения поврежденных мышц. При этом боль может быть постоянной, а при пальпации определяется мышечный спазм.
При несвоевременном оказании помощи возможна слабость, а иногда и полная атрофия мышцы. В качестве лечения назначаются обезболивающие препараты, противовоспалительная терапия, ЛФК и массаж (после снятия острой симптоматики).
6. При невралгии
Достаточно часто причиной появления боли сзади в области легких являются межреберные невралгии, которые даже при отсутствии тяжелой симптоматики способны негативно отразиться на общем самочувствии пациента.
Характерно, что болевой синдром напрямую зависит от локализации патологического процесса, например, при воспалительном очаге справа боль будет присутствовать в правой части спины с иррадиацией в левую сторону (переднюю часть грудной клетки). Заподозрить развитие невралгии можно и при покалывании в лопаточной области при вдохе.
Локальные боли при межреберной невралгии сильные, подобны прострелу
При пальпации определяется болезненность по ходу нерва, а в зоне воспаления отмечается снижение чувствительности и онемение конечности. При этом важно отличать невралгию от других заболеваний в первую очередь для того, чтобы назначить адекватное лечение, которое включает в себя использование наружных обезболивающих препаратов (мазей, кремов и гелей), противовоспалительных и массажа.
Заключение
Коварство возникновения болевого синдрома в области спины заключается в том, что подобная симптоматика может маскировать многие заболевания, в том числе и позвоночного столба. Многие пациенты не придают особого значения таким проявлениям, ошибочно полагая, что это обычная простуда, что приводит к позднему обращению за квалифицированной медицинской помощью и осложнению ситуации.
Однако правильный диагноз может установить только врач, после выполнения полной диагностики и лабораторных анализов, на основании чего в дальнейшем назначаются адекватные терапевтические мероприятия. Поэтому крайне важно, когда болят легкие со спины, незамедлительно обратиться в медицинское учреждение. Это позволит предупредить тяжелые, а в некоторых случаях и летальные, последствия для больного.
Источник





